100 S University Blvd. Mobile, AL 36608

A Brighter, More Confident Smile
Achieving Your Best Smile
Do you have silver fillings, crooked teeth, gaps, chips, stains and other cosmetic dental issues? While some people can improve their smile with one cosmetic procedure like teeth whitening or cosmetic dental bonding, some people want a complete smile makeover. If you have several issues you want to address, come talk to us and learn about how our cosmetic dental team can transform your smile. We offer porcelain veneers, which are the go-to option for addressing multiple smile flaws with one procedure. We also have in-office teeth whitening, dental bonding, white fillings and dental restorations like dental implants or bridges to give you the smile you always wanted.
You deserve to feel confident when you smile. If you hide your teeth behind closed lips due to unappealing dental flaws, come see us at Hollon and Taylor Dental Mobile. We offer smile makeovers to give you a stunning smile that will boost your confidence and appearance. Contact us today to schedule your smile makeover consultation at our office near Springhill in Mobile, AL.
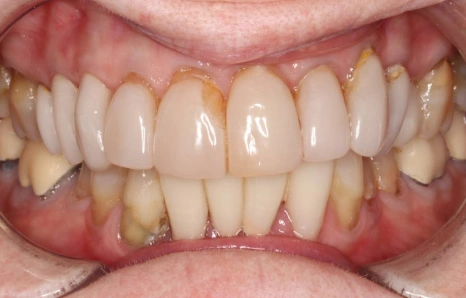
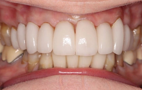
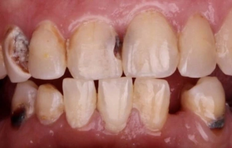
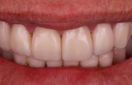
Smile Transformations

BEFORE
AFTER


BEFORE
AFTER


BEFORE
AFTER

