
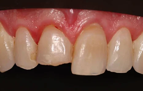
I went for 2nd opinion to see if I needed my 4 old crowns replaced and remove an old filling and replace with new filling and a crown. I am pleased to say Dr Hollon was thorough in his exam. After reviewing the x-rays, he set out a plan to fill and cap the old filling, but not the old crowns. He showed me a picture of my tooth 14 which showed cracks in my tooth. He said the old crowns looked fine, but recommended new filling and crown on 14. He is a very good Dr. And I highly recommend him for dental needs.

My family was vacationing in Dauphin Island AL and my wife had an accident that required extensive dental work. We called after hours and were given an appointment the very next morning. Dr Hollon and his staff went above and beyond to help us. He referred us to a neighboring oral surgeon and gave my wife the reassurance she needed that she would be well taken care of. If I lived anywhere near Mobile, I know I would be going back to Dr Robin Hollon.

Top Tier Service with a smile. I actually came to this office today to bring my cousin, I inquired about setting up an appointment, the nice young lady said they can get me in today. I saw Dr. Hollon after the cleaning and he's very nice and friendly. I Loved the fast friendly service I received today and I am looking forward to my next appointment in February. Thank you all very much for taking care of me on such short notice. I've been telling all of my family and friends about you.

From check in to check out I was very impressed! The office was clean and presentable! The front desk clerk was amazing and very friendly. My hygienist Cara was so sweet and caring and was knowledgable about questions I had about my mouth. The dentist Dr. Hollon was very nice as well and eased my mind about what I thought was wrong with my mouth! Was satisfied with his recommendations! Will be returning and referring!

I cannot express my feelings accurately in text. I felt welcome, heard, understood and respected. Dr. Taylor took time to sit & speak with me, provided me with several options that we could consider and educated me on the treatment plans. Everyone I spoke with at this office was beyond professional and kind. I truly felt cared for.
Thank you all so much, and I look forward to working together for my needs.